2021.10.04
反対咬合(うけ口)について
10月に入り一日の気温差が激しく体調等崩していませんか?
どうも、院長の古賀です。
最近は、勉強会での発表や、歯科医師会のお仕事であまり
ブログを更新できませんでした。
さて、今日はかみ合わせについて少しお話を
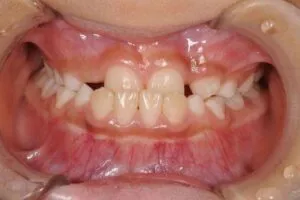
通常、前歯は上の前歯が下の前歯よりも前に生えているのが正常です。
この状態が反対になってしまっている状態を反対咬合といいます。
この状態では見た目もですが前歯をうまく使うことができないので奥歯にかかる
負担が増えてしまいます。

このような前歯のかみ合わせの状態を反対咬合といいます。
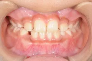
大人になり改善しようとすると全顎的な矯正が必要になりますが
反対咬合用のマウスピースを使用すると

このように改善することができます。
このような咬み合わせになると大掛かりな矯正の治療は必要ないと思います。
4~5歳ぐらいで治療を始めることができますので
お子さんの反対咬合でお悩みの方は一度相談を。
投稿者:








